Một bệnh nhân điều trị tại Bệnh viện Bạch Mai được xác định đồng thời mắc hai ung thư nguyên phát – phổi và tuyến tiền liệt – thay vì di căn như nghi ngờ ban đầu. Trường hợp này cho thấy vai trò quyết định của chẩn đoán chính xác và phối hợp đa chuyên khoa trong điều trị, góp phần nâng cao hiệu quả kiểm soát bệnh và chất lượng sống cho người bệnh.
Thông tin từ Bệnh viện Bạch Mai cho biết, bệnh nhân nam nhập viện trong tình trạng tiểu khó kéo dài. Qua thăm khám lâm sàng và triển khai hàng loạt kỹ thuật cận lâm sàng hiện đại như chụp cắt lớp vi tính, cộng hưởng từ, xạ hình xương và đặc biệt là PET/CT, các bác sĩ phát hiện nhiều tổn thương bất thường tại tuyến tiền liệt, phổi, tuyến thượng thận và hệ xương.
Thách thức lớn nhất đặt ra là xác định chính xác bản chất các khối u: đâu là tổn thương nguyên phát, đâu là di căn. Đây là yếu tố mang tính quyết định, bởi nếu chẩn đoán sai, toàn bộ chiến lược điều trị có thể đi chệch hướng, ảnh hưởng trực tiếp đến tiên lượng của người bệnh.

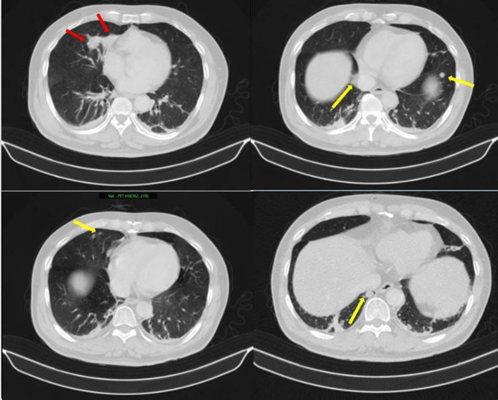
Những hình ảnh bất thường trên phổi của bệnh nhân (Ảnh: BV Bạch Mai)
Kết quả sinh thiết và phân tích mô bệnh học, kết hợp hóa mô miễn dịch, đã làm rõ bản chất bệnh lý: khối u tại phổi là ung thư biểu mô tuyến của phổi; trong khi đó, khối u tại tuyến tiền liệt là ung thư biểu mô tuyến với điểm Gleason 9 – thuộc nhóm nguy cơ cao. Đáng chú ý, hai loại ung thư này có nguồn gốc độc lập, không phải là hiện tượng di căn chéo.
Sau khi hội chẩn đa chuyên khoa, các bác sĩ đã xây dựng phác đồ điều trị toàn diện, ưu tiên kiểm soát bệnh trên toàn cơ thể. Bệnh nhân được chỉ định hóa trị ung thư phổi bằng phác đồ Pemetrexed kết hợp Carboplatin, đồng thời điều trị nội tiết ung thư tuyến tiền liệt bằng Degarelix.
Sau 2–3 tháng điều trị, tình trạng bệnh nhân có chuyển biến tích cực: triệu chứng lâm sàng được cải thiện, các chỉ số dấu ấn ung thư giảm, cho thấy đáp ứng điều trị bước đầu khả quan.

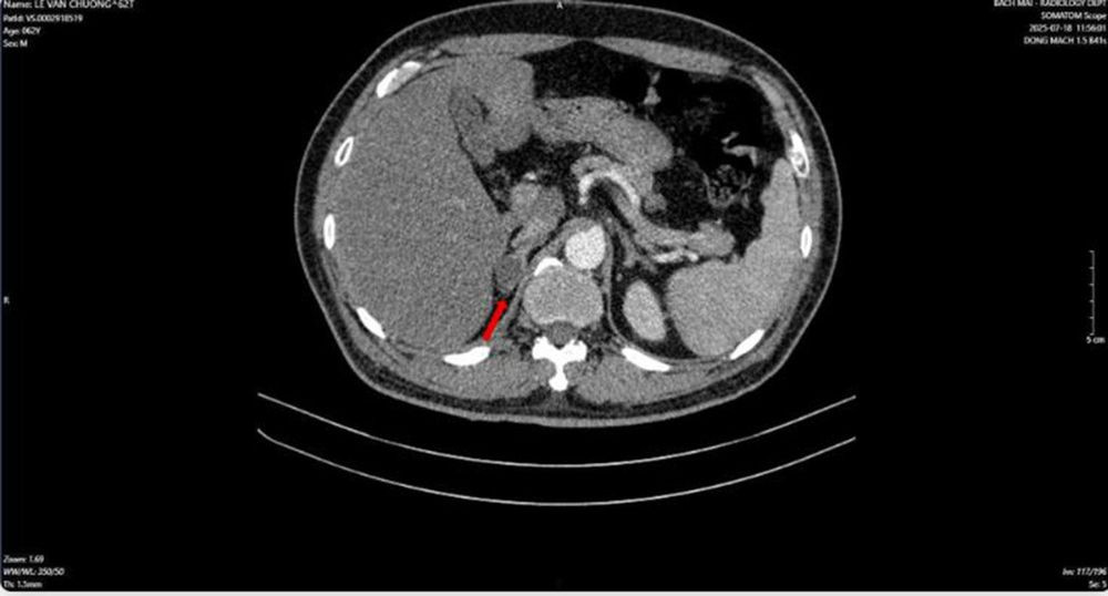
Hình ảnh dày tuyến thượng thận phải tạo nốt có kích thước 19 x 17 mm (Ảnh: BV Bạch Mai)
Theo các bác sĩ, trường hợp này là minh chứng rõ nét cho tầm quan trọng của việc phân biệt ung thư nguyên phát và di căn. Chẩn đoán chính xác không chỉ giúp lựa chọn đúng phương pháp điều trị, mà còn mở ra cơ hội kiểm soát bệnh hiệu quả, kéo dài thời gian sống và nâng cao chất lượng sống cho người bệnh.
Các chuyên gia cũng khuyến cáo, cùng với sự phát triển của y học hiện đại, ngày càng ghi nhận nhiều trường hợp mắc đa ung thư nguyên phát. Do đó, việc thăm khám định kỳ, phát hiện sớm và đặc biệt là phối hợp đa chuyên khoa trong chẩn đoán, điều trị là chìa khóa quan trọng để kiểm soát bệnh một cách toàn diện.
Theo: Tạp chí sức khỏe cộng đồng